Home / Funny / Viral / First Organism That Can Survive Without Oxygen Discovered By Scientists

FIRST ORGANISM THAT CAN SURVIVE WITHOUT OXYGEN DISCOVERED BY SCIENTISTS

The three most fundamental components required for life to exist are food, water, and oxygen. Water bears, also known as tardigrades, have defied this fact ever since they were discovered by enduring harsh climates and temperatures as well as extended periods without food. Even though tardigrades lack respiratory organs, they still need oxygen to survive. However, what if an animal exists that is not dependent on oxygen, one of life's necessities?

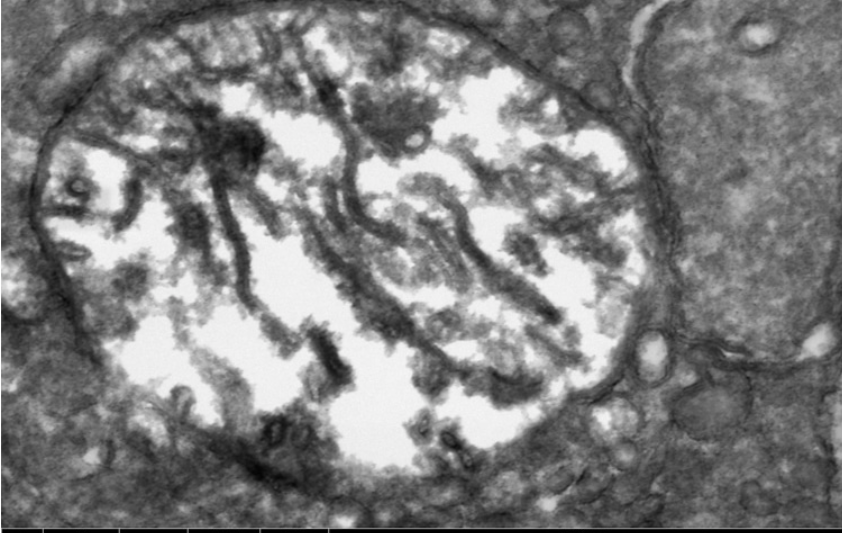
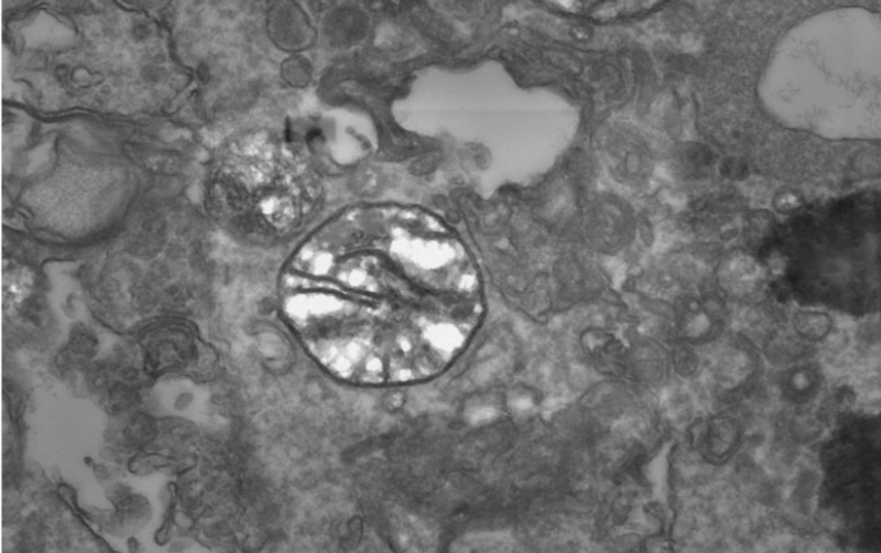
In 2020, the parasite Henneguya salminicola was the subject of an investigation by a research team under the direction of bioinformatics software engineer Dayana Yahalomi. The multicellular organism, which is frequently found in salmon, is a member of the Cnidaria clade of animals, which also includes jellyfish, sea anemones, and other marine parasites. Salminicola is distinct from other multicellular organisms because it does not require aerobic respiration and does not require oxygen intake, according to the team's findings, which were published in the PNAS. Rather, the H. salminicola feeds on its salmon host directly, obtaining nutrients and other molecules in the process.

With the help of fluorescence micrographs and deep sequencing techniques, the researchers were able to conclude that the parasite lacks a mitochondrial genome and cannot carry out cellular respiration. 

The majority of organisms rely on their mitochondria to transform food into energy. The researchers discovered that H. salminicola has lost almost all nuclear genes involved in transcription and replication of the mitochondrial genome in addition to its missing genome.

The researchers explain in the publication that some organisms have developed new anaerobic metabolic pathways in place of cellular respiration in order to adapt to low-oxygen environments.

Using the same annotation and sequencing techniques, the analysts demonstrated that Myxobolus squamalis, a closely related myxozoan, possesses a mitochondrial genome for the control group of the study. The findings of the study demonstrated that while mitochondrial DNA was present in M. squamalis, it was absent in H. salminicola.

Being the first known multicellular organism to survive without oxygen, the discovery of Henneguya salminicola has altered science as we know it. The discovery raises the issue of whether life can exist in harsh environments, such as space. The more extraordinary organisms are studied, the more the principles of life will become clear to us. 

LATEST
'The Rain' By Missy Elliot Sent To Space By Nasa
The Most Expensive Dinosaur Fossil In The World Is a Stegosaurus Worth $45M
Newly Discovered Lunar Cave May Serve As a Base Camp On The Moon
Giant Wall Covered In 440 High Heels To Honour Domestic Violence Victims
Rare Tree Frog Discovered In Remote Area In Australia Features Beautiful Blue Colour
The Only Pink Manta Ray In The World
Australian Dingo Kangaroo DNA Reveals The Origins Of Iconic Wild Dogs In The Country
Population Of Different Species Illustrated By The Amount Of Pixels
The Fingers Of a Gorilla With Vitiligo Almost Looks Like Pink Human FIngers